Weight Training for Bone Health and Osteoporosis Prevention: How It Strengthens Bones and Boosts Calcium Absorption

Middle-aged woman doing weight training for bone health and osteoporosis prevention at home

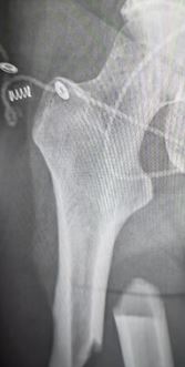
Broken thigh bone due to bone loss from osteoporosis in 40s

When you lift weights, your muscles pull against your bones through tendons. This mechanical stress sends signals to bone-forming cells called osteoblasts to lay down new bone tissue.

  • Bone density increases, especially in hips, spine, and wrists (common fracture sites).
  • Microdamage repair improves through bone remodeling.
  • Balance and coordination get better—reducing fall risk.

Research shows: Regular resistance training can increase bone density by up to 3–5% in a year, especially in postmenopausal women.
Tip: Focus on compound moves like squats, lunges, push-ups, and deadlifts. These stimulate multiple bone areas at once.

  • Vitamin D helps your intestine absorb calcium from food.
  • The body keeps blood calcium levels stable. If blood calcium drops, bones release some—hence poor intake = bone loss.
  • Magnesium and vitamin K2 help calcium reach bones instead of soft tissues
ComponentPercentageFunction
Calcium phosphate (as hydroxyapatite)60–65%Provides hardness and structure
Collagen (protein matrix)25–30%Gives flexibility and tensile strength
Water10–15%Maintains elasticity
Other minerals (magnesium, sodium, potassium, zinc, copper, manganese, fluoride)2–5%Support bone metabolism and repair
  • Receding gums (jawbone loss)
  • Weakened grip strength
  • Back pain or height reduction
  • Brittle nails or easy fractures
HormoneEffect on Bones
EstrogenProtects bones by slowing down bone resorption (loss). Its drop after menopause is a major trigger for osteoporosis in women.
TestosteroneHelps build and maintain bone density in men. Low levels increase fracture risk.
Parathyroid hormone (PTH)Regulates calcium by controlling how much is released from bones.
Cortisol (stress hormone)Chronic high levels break down bone tissue.
Thyroid hormonesExcess levels can accelerate bone loss.
  • Bisphosphonates: Slow bone breakdown (e.g., alendronate).
  • Hormone replacement therapy (HRT): For postmenopausal women, under medical supervision.
  • Calcium + Vitamin D supplements: To restore deficiency.
  • Bone-building drugs: Like teriparatide (in severe cases).
  • Begin supervised weight training (start light).
  • Practice balance and posture training like yoga or tai chi.
  • Quit smoking and limit alcohol.
  1. Start weight training early – even 10–15 minutes a day helps.
  2. Get sunlight for natural vitamin D.
  3. Eat a mineral-rich diet (see below).
  4. Reduce caffeine and cola intake – both leach calcium.
  5. Maintain gut health – healthy microbiome improves mineral absorption.
NutrientSourcesRole
CalciumRagi, sesame, milk, tofu, sardines, amaranthStrengthens bone matrix
Vitamin DSunlight, egg yolk, fortified foodsBoosts calcium absorption
MagnesiumPumpkin seeds, spinach, dark chocolateHelps vitamin D function
Vitamin K2Fermented foods (natto, curd), cheeseSends calcium to bones
ZincLentils, chickpeas, nutsSupports bone formation
PhosphorusFish, dairy, beansWorks with calcium for bone structure
BoronApples, almonds, datesAids estrogen and bone metabolism
ProteinPaneer, eggs, legumesBuilds collagen matrix

Don’t miss out on the latest health updates

We don’t spam!

Scroll to Top